Foto: Mirror.co.uk
Dream - Jadikan kisah ini sebagai pelajaran. Jangan menyepelekan bau kaus kaki. Tak perlu tunggu hingga menyengat. Begitu kotor, mulai beraroma tak sedap, segera cuci.
Jika tidak, bisa berakibat fatal. Tak hanya membuat hidung kita tak nyaman. Bau kaus kaki bahkan bisa menyebabkan infeksi paru-paru yang sangat akut.
Itulah yang terjadi pada seorang pria di Zhangzhou, China, berikut ini. Dia harus menjalani prawatan intensif di rumah sakit karena mengalami infeksi akut di paru-parunya.
Diduga kuat penyakit ini karena sering mengendus kaus kakinya sendiri.
Laman Mirror.co.uk melansir, pria berumur 37 tahun bernama Peng itu dilarikan ke rumah sakit No 909 di Zhangzhou, Provinsi Fujian, China, karena mengeluhkan sakit dada dan batuk yang berkepanjangan.
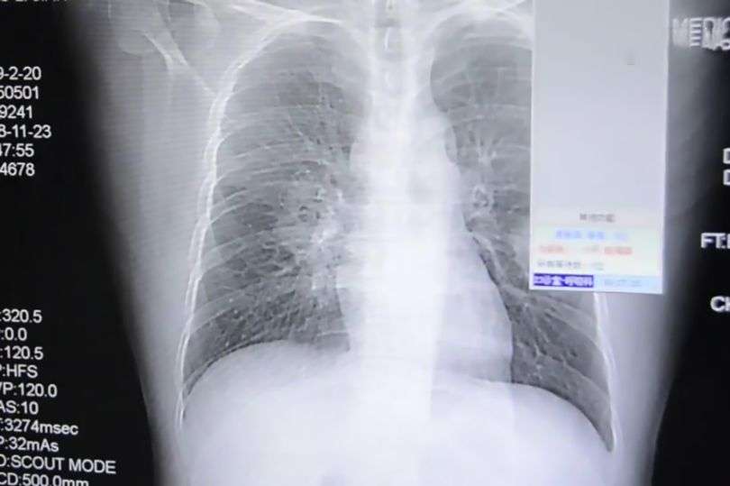
Saat diperiksa dan dilakukan X-ray, barulah terungkap bahwa Peng mengalami infeksi paru-paru yang parah.

Dari pemeriksaan lanjutan terdapat sebuah fakta yang mengagetkan, infeksinya itu ternyata disebabkan oleh bakteri yang biasa di temukan di alas kaki.

Setelah diselidiki, Peng mengaku rutin mengendus kaus kakinya yang sudah kotor dan bau saat pulang kerja sebelum melemparkanya ke keranjang pakaian kotor.
Kasus seperti ini sangat jarang ditemukan, dan kemungkinan terjadi apabila seseorang tersebut mempunyai daya tahan dan kekebalan tubuh yang lemah.
Beruntungnya dokter dapat memberikan pengobatan yang tepat, sehingga Peng diharapkan bisa lebih cepat untuk kembali putlih total.
Sumber: mirror.co.uk