(Foto: Dr Talia Shepherd/abc.net.au)
Dream - Dokter bedah di Australia berhasil mengangkat sisa kawat gigi yang tertinggal selama 10 tahun di perut seorang wanita Perth.
Wanita berusia 30 tahun itu mengaku tidak ingat bagaimana sisa kawat gigi bisa sampai tertelan dan bersarang di perutnya.
Dr Talia Shepherd dari Rumah Sakit Sir Charles Gairdner di Nedlands mengatakan, beberapa bulan yang lalu seorang pasien wanita datang dan mengeluh perut bagian atasnya mengalami kram.
Saat itu dokter yang memeriksanya mengatakan pasien mengalami masalah pada kantung empedunya dan mendapat pengobatan rawat jalan.
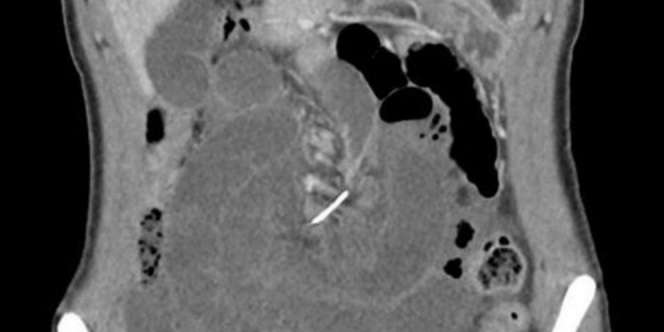
Namun, dua hari kemudian dia datang lagi dan mengeluh nyeri perut yang parah. Setelah menjalani CT Scan, dokter menemukan ada sisa kawat gigi sepanjang 7 cm yang menusuk usus kecilnya.
" Awalnya kami mengira benda asing itu adalah tulang ikan karena benda inilah yang umumnya ikut tertelan dan menancap di usus," kata dokter Shepherd.
" Terlebih lagi pasien tidak bisa mengingat makanan apa saja yang dia telan baru-baru ini," tambahnya. (ism)
© Dream
Dram - Karena itulah dokter memutuskan melakukan operasi bedah untuk mengambil apapun yang menancap di usus kecil pasien wanita tersebut.
" Ternyata benda yang menusuk usus kecilnya itu adalah sisa kawat gigi yang dia pakai 10 tahun yang lalu," kata dokter Shepherd.
Setelah operasi, wanita itu tidak ingat pernah menelan seutas kawat atau potongan sisa kawat giginya yang mungkin hilang.
" Itulah yang membuat kasus ini sangat tidak biasa. Dia benar-benar tidak bisa memberikan keterangan bagaimana sisa kawat gigi itu bisa berada di sana," kata dokter Shepherd.
Beruntung, setelah 10 tahun bersarang di perutnya, sisa kawat gigi itu tidak menyebabkan kerusakan permanen pada organ tubuhnya.
" Dia sekarang sehat dan bisa melanjutkan hidupnya," kata dokter Shepherd.
(ism, Sumber: abc.net.au)
Advertisement
3 Rekomendasi Salt Bread Enak di Jakarta, Sudah Coba?

Komunitas InterNations Jakarta, Tempat Kumpul Para Bule di Ibu Kota

Lihat Mewahnya 8 Perhiasan Bersejarah Kerajaan Prancis yang Dicuri dari Museum Louvre

Hobi Membaca? Ini 4 Komunitas Literasi yang Bisa Kamu Ikuti

Baru Dirilis ChatGPT Atlas, Browser dengan AI yang `Satset` Banget


Throwback Serunya Dream Day Ramadan Fest bersama Royale Parfume Series by SoKlin Hijab

Lihat Video Baut Kendur Thai Lion Air Saat Terbang yang Bikin Geger




Komunitas InterNations Jakarta, Tempat Kumpul Para Bule di Ibu Kota

Lihat Mewahnya 8 Perhiasan Bersejarah Kerajaan Prancis yang Dicuri dari Museum Louvre